Teeters Transformations

Discover the remarkable transformations at Teeters Orthodontics through our Before and After gallery. Each set of photos showcases the exceptional results of our orthodontic treatments, from subtle adjustments to complete smile makeovers. See the real, positive changes in our patients’ smiles and start envisioning your own path to a beautiful, healthy smile.

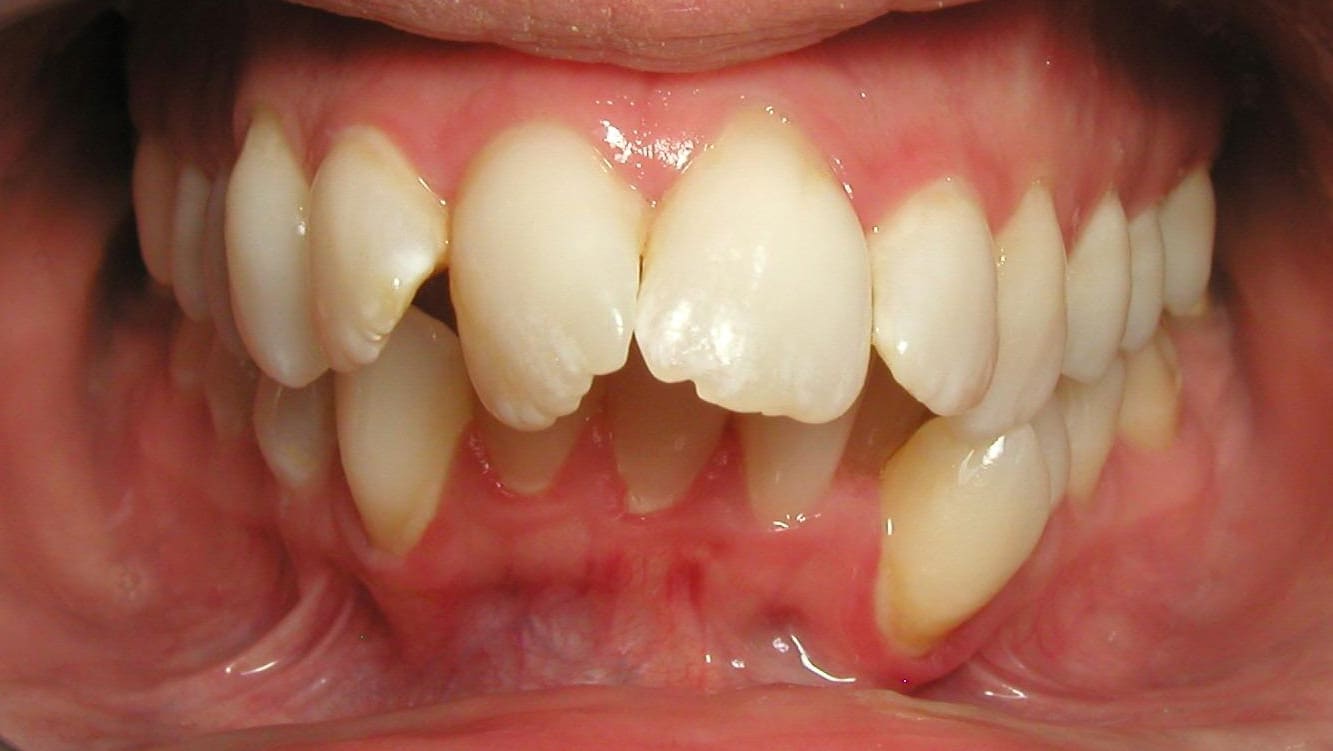
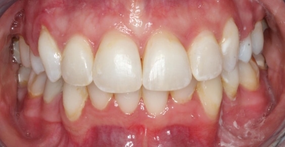
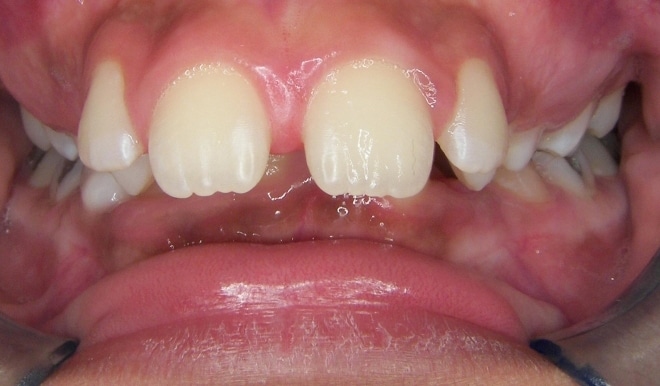
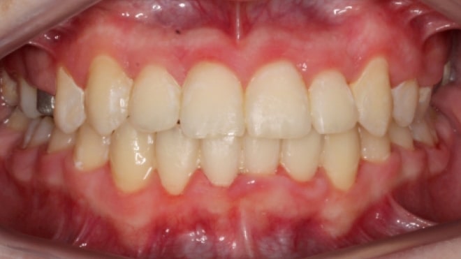
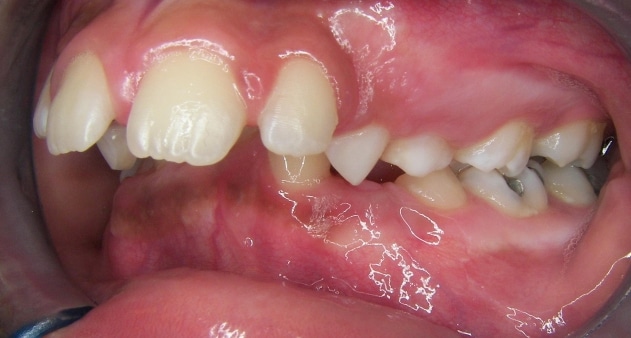
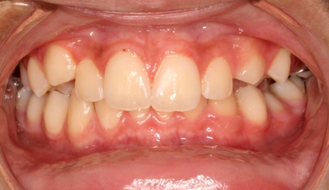
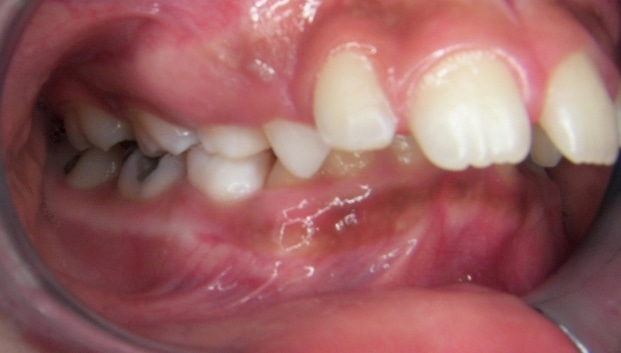
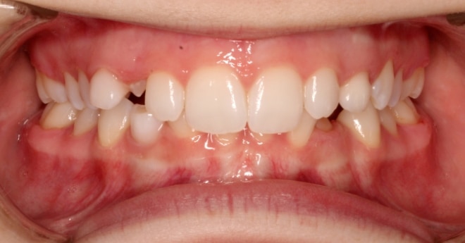
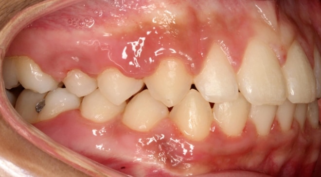
Patient 1

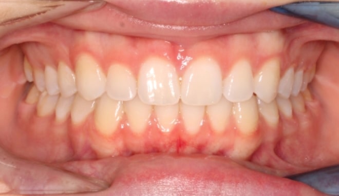
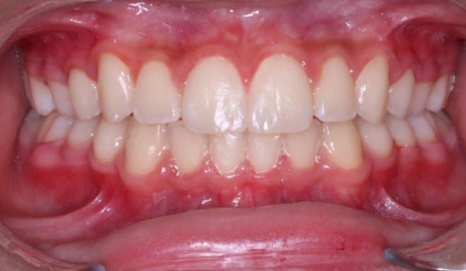
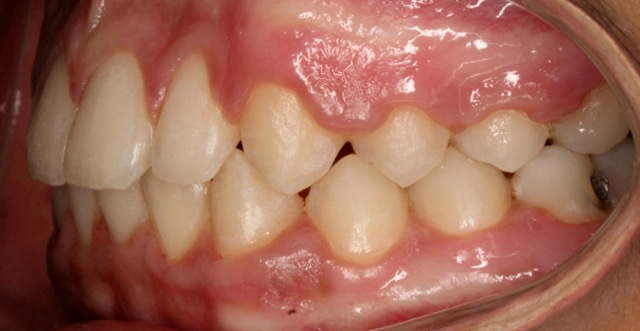
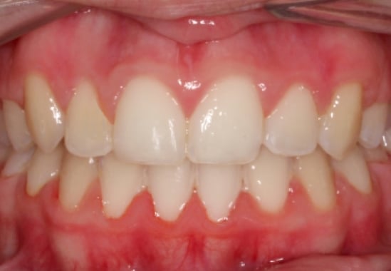
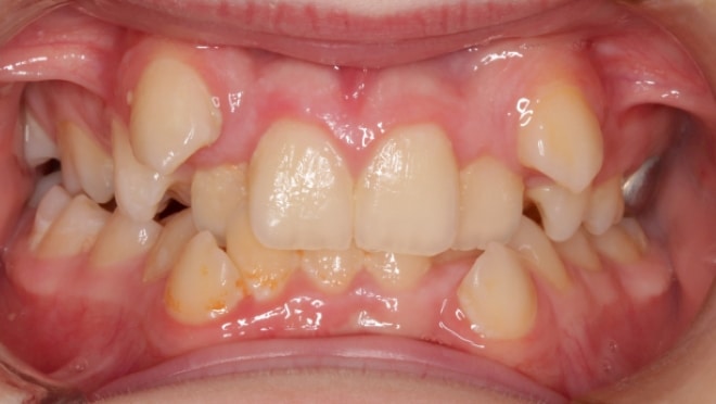
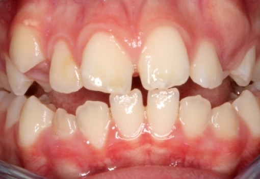
Patient 2

Patient 3

Patient 4

Patient 5

Patient 6

Patient 7

Patient 8